몸에 근육량이 많고 복부지방이 적을수록 뇌 노화 속도가 느려진다는 연구 결과가 나왔다. 그러나 피하지방은 뇌 노화 속도와 관련이 없는 것으로 나타났다.
미국 워싱턴대 의대 사이러스 라지 박사팀은 전신 MRI로 건강한 성인 1천100여명의 근육과 지방, 뇌 조직을 촬영하고, 총근육량과 내장지방, 피하지방, 뇌 나이 간 관계를 인공지능(AI)으로 분석한 결과 근육량이 많고 내장지방 대비 근육 비율이 낮으면 뇌 노화 속도가 느린 것으로 나타났다고 밝혔다.
라지 교수는 "근육량이 많고 숨겨진 복부지방이 적은 건강한 신체를 가진 사람일수록 더 건강하고 젊은 뇌를 가질 가능성이 높은 것으로 나타났다"며 "더 나은 뇌 건강은 결국 알츠하이머병과 같은 미래의 뇌 질환 위험을 낮춘다"고 말했다.
이 연구 결과는 오는 30일부터 12월 4일까지 시카고에서 열리는 북미영상의학회 연례 학술대회(RSNA 2025)에서 발표될 예정이다.
복부 비만은 복강 깊숙이 위치해 주요 내부 장기를 둘러싸고 있는 내장지방이 많은 상태로, 내장지방은 피부 아래에 있는 피하지방에 비해 심결관 질환 등 질병 위험을 더 크게 증가시키는 요인으로 알려져 있다.
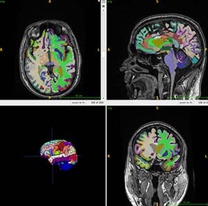
연구팀은 이 연구에서 뇌의 구조적 MRI 영상의 부위별 부피를 기반으로 추정한 뇌 나이와 전신 MRI로 측정한 총근육량과 내장지방, 피하지방 사이의 연관성을 인공지능 알고리즘으로 분석했다.
이들은 4개 지역 거주자 1천164명(평균 나이 55.17세)을 대상으로 전신 MRI를 촬영하고 이를 지방과 체액, 근육 등이 다른 색으로 보이게 하는 기법과 결합해 총근육량과 내장지방 피하지방, 뇌 나이를 정량화했다.
그 결과 총근육량이 많을수록 실제 나이가 더 적고 뇌 MRI로 계산한 뇌 나이도 더 젊은 것으로 나타났다. 총근육량과 실제 나이 및 뇌 나이 간 상관계수(rp)는 각각 -0.2579와 -0.2497로 약한 연관성을 보였지만 통계적으로 유의미했다.
내장지방 대비 총근육량 비율과 실제 나이 및 뇌 나이는 상관 계수가 각각 0.3755와 0.3797로 중등도 연관성을 보였다. 이는 내장지방이 많을수록 실제 나이와 뇌 나이가 모두 더 높아진다는 것을 의미한다.
그러나 피부 바로 아래에 있는 피하지방은 뇌 노화와 관련성이 없었다.
라지 박사는 "근육이 더 많은 사람이 더 젊어 보이는 뇌를 가진 반면, 근육에 비해 복부 지방이 많은 사람은 더 나이가 들어 보이는 뇌를 가지고 있었다"며 "즉 근육이 더 많고 내장지방대 근육 비율이 낮을수록 뇌 노화가 늦어진다"고 말했다.
이어 "연령 증가가 근육량 감소와 복부 지방 증가로 이어진다고 보통 알려졌지만, 이 결과는 이런 건강 지표가 뇌 노화 자체와도 연관된다는 것을 보여준다"며 "뇌건강을 위해 실천 가능한 목표는 근육을 늘리고 내장지방을 줄이는 것"이라고 덧붙였다.


























